Hymy kuntoon – kauniiden hampaiden salaisuus

  • Artikkelin kirjoittaja:
  • Artikkelia viimeksi muokattu:25 maaliskuun, 2026

Kauniit hampaat voivat olla elämänmuutos

Hampaisiin tai niiden kuntoon liittyy usein häpeää ja niitä saatetaan peitellä sen vuoksi. Ihmiset eivät välttämättä uskalla hymyillä koska häpeävät hampaitaan, tai saattavat vältellä niiden näyttämistä jos kokevat että niissä on jotain vikaa. Joku saattaa piilottaa hampaat valokuvissa pitämällä aina huulet yhdessä. Kyse voi olla esimerkiksi muoto-, väri- tai asentovirheistä tai runsaasti paikatuista tai kuluneista hampaista.

Mitä niille voi tehdä ja mitä se maksaa?

Joskus oikomishoidosta on hyötyä, jos on purentavirheitä, ahtautta tai hampaiden asentovirheitä. Oikomishoidolla voidaan saada hammasrivi näyttämään tasaisemmalta, samalla purenta voi tasapainottua ja puhdistaminen helpottua. Nykyään oikomishoito aikuisille voidaan usein toteuttaa oikomiskalvoilla, jotka ovat varsin huomaamattomia ja jotka saa otettua pois syödessä ja hampaita pestessä. Kalvo-oikomishoito onkin kasvattanut viime vuosina suosiotaan.

Hampaissa virheasentoja ja aukkoisuutta, joita korjattu oikomiskalvoilla. Laitimmaiset yläetuhampaat synnynnäisesti pienikokoiset ja niissä vanhat värjäytyneet yhdistelmämuovikruunut. Niihin oikomishoidon jälkeen on tehty kruununpidennysleikkaukset ja keraamiset kruunut. Kuvat: Hammaslääkäri Janne Säkkinen

Hampaiden muoto- ja sävyvirheitä voidaan korjata erilaisilla restauraatioilla, joskus riittää muovinen pieni korjaus, joskus tehdään kruunuja tai laminaatteja. Hampaan kruunulla tarkoitetaan yleensä koko hampaan näkyvää osaa, laminaatilla tarkoitetaan hampaan ulospäin näkyvissä olevalle julkisivulle tehtävää kuorta.

Kuvassa katkennut hammas korjattu keraamisella kruunulla ja naapurihampaan paikka vaihdettu. Kuva: Hammaslääkäri Esa-Pekka Juopperi

Laminaatin valmistamiseksi useimmiten hampaan pintaa hiotaan aavistuksen verran, hiottu pinta jäljennetään, nykyään pääasiassa digitaalisesti siihen tarkoitetulla skannerilla, jonka jälkeen laminaatti valmistetaan ja sovitetaan, tarkistetaan että se istuu, väri ja muoto ovat halutun kaltaisia ja lopulta sementoidaan kiinni.

Laminaatit tai kruunut voidaan valmistaa myös muovista suoralla tekniikalla suuhun joko erikseen hammas kerrallaan tai esimerkiksi ns. ruiskumuottitekniikalla jossa laboratoriosta tilataan malli, jonka mukaan muovi asemoidaan olemassa oleviin käsiteltyihin hampaisiin.

Yläetuhampaiden kulumista, vuotavia täytteitä ja virheasentoja korjattu hammaslaminaateilla, samalla hampaiden sävyä vaalennettu selvästi. Kuva: Hammaslääkäri Ville Saarenpää
Kuvassa rikkoutuneen kruunun korjaaminen keraamisella kopiolla alkuperäisestä kruunusta saman käynnin aikana. Kuva: Hammaslääkäri Ville Saarenpää

Ruiskumuottitekniikalla voidaan tehdä nopeasti yhdistelmämuovista laajojakin purennan korotuksia ja hampaiden rakenteita ja muoviset rakenteet voidaan myöhemmin tarvittaessa korvata kestävämmillä. Ajatuksena on että koko hampaistoon tehdään kerralla etukäteen suunnitellulla muotilla muoviset rakenteet korvaamaan puuttuvaa hammaskudosta.

Kulunutta ja madaltunutta purentaa korjattu ruiskumuottitekniikalla korottamalla purentaa ja hampaita. Kuva: Hammaslääkäri Jussi Kaijanen

Tapaturmaisesti voidaan menettää etuhampaita ja tuolloin usein päädytään hampaan implanttihoitoon. Kokonaan menetetty hammas voidaan korvata hammasimplantilla, hammassillalla tai irtoproteesilla. Implantti on itsenäinen rakenne, jossa hampaan menetetty juuri korvataan titaanisella keinojuurella, johon hampaan näkyvä osa, kruunu, kiinnitetään. Hammassilta on naapurihampaisiin kiinnitettävä rakenne, jolla puutosaukko peitetään kiinteästi.

Urheilutapaturma, jonka seurauksena kolme hammasta vaurioitunut, joista yksi menetetty kokonaan, yksi jouduttiin juurihoitamaan ja kruunuttamaan ja yksi korjattiin hammaslaminaatilla. Kolme hyvin erilaistakin rakennetta voidaan saada sopimaan hyvin yhteen. Kuva: Hammaslääkäri Ville Saarenpää

Rakenteita suunnitellessa on tärkeää että hampaat ja mahdolliset infektiot tutkitaan ja hoidetaan. Lisäksi potilaan omahoidon on syytä olla kunnossa, jotta rakenteiden ennuste on hyvä ja kaikkia rakenteita on syytä seurata säännöllisissä hammaslääkärin tarkastuksissa.

Mikäli ongelma on hampaiden värjäytyminen tai tummuminen, joskus riittävä ratkaisu voi olla värjäymien poisto ja valkaisuhoito. Värjäymiä voidaan poistaa esimerkiksi soodapuhdistuksella, jossa soodaa puhalletaan hampaiden pinnoille ja poistetaan sillä pinnallisia värjäymiä. Valkaisuhoidossa hampaiden pinnalle laitetaan yleensä vetyperoksidi- tai karbamidiperoksidipohjaista ainetta joka poistaa värjäymiä syvemmältä kiilteen sisältä. Valkaisuja on eri tehoisia ja eri kestoisia ja se kuinka paljon kenenkin hampaat vaalenevat esimerkiksi yhdellä käsittelyllä on yksilöllistä. Valkaisun jälkeen hampaissa voi olla vihlontaa.

Kuvassa vasemman puolen kuvissa hampaiden vastaanotolla tehdyllä tehovalkaisulla kertakäsittelyllä saavutettu tulos. Oikean puolen kuvissa pinnallisempia värjäymiä poistettu soodapuhdistuksella ja tehty pikavalkaisu. Kuva: Suuhygienisti Iina Kervinen

Jonkin verran on yleistynyt myös tapa käydä ulkomailla tekemässä hammasremontti. Näin voi toki toimia, mutta tuolloin kannattaa muistaa että suomalainen potilasvakuutus ei korvaa ulkomailla tehtyihin korjauksiin liittyviä vahinkoja. Lisäksi kannattaa pyrkiä mahdollisuuksien mukaan ottamaan mahdollisimman hyvin selvää kohdemaan ja kohdevastaanoton toimintatavoista ja luotettavuudesta. Ulkomailta voi saada hyvääkin hammashoitoa, mutta liian usein tulee vastaan kiireellä esimerkiksi loman aikana mahdollisimman nopeasti tehtyjä töitä, joissa voi olla useita ongelmia kuten esimerkiksi aivan liikaa porattuja hampaita, massiivisia rakenteita tai sementtiylimääriä, hoitamattomia purentoja, väärän kokoisia tai muotoisia hampaita, hoitamattomia infektioita, jotka voivat johtaa jopa sairaalahoitoon. Vaurioituneiden tai virheellisten rakenteiden ja niiden aiheuttamien ongelmien korjaaminen Suomessa on pääsääntöisesti kalliimpaa kuin alkuperäisen tilanteen hoitaminen. Joskus rakenteet pettävät hyvinkin nopeasti, mutta toisinaan potilas tai voi joskus huomata ongelmat pahimmillaan vasta kuukausien tai jopa vuosien kuluttua niiden aiheuttaessa jo isompia ongelmia tai oireita. Mikäli suunnittelee isompaa hammasremonttia ulkomailla, suosittelemme ensin konsultoimaan omaa hammaslääkäriä. Hammaskudos joka on kerran menetetty, ei kasva enää takaisin, vaan joudutaan aina korvaamaan keinomateriaalilla.

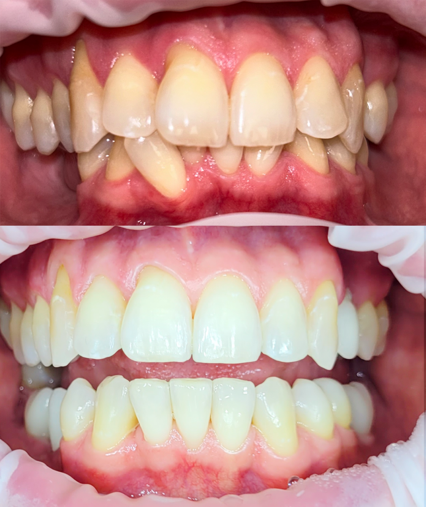
Ahtautta ja virheasentoja on korjattu oikomishoidolla ja puuttuvia sivualueen hampaita korvattu implanteilla. Lisäksi etualueelle on tehty valkaisu. Kuva: Hammaslääkäri Ville Saarenpää ja erikoishammaslääkäri Matti Hannula

Oikomishoidon hinta voi vaihdella sadoista euroista yli kymmeneen tuhanteenkin, tyypillisesti esimerkiksi tavanomaisen kalvo-oikomisen hinta asettuu 3000 – 8000 euron väliin.

Kruunujen ja laminaattien hinta hammasta kohti riippuu myös käytettävästä materiaalista, tehdäänkö hammas esimerkiksi muovista, keramiasta tai kullasta, ja tehdäänkö työ vastaanotolla vai laboratoriossa. Keraamiset kruunut tai laminaatit tyypillisesti n. 700 eurosta 1500 euroon riippuen edellämainituista tekijöistä. Muoviset rakenteet ovat yleensä edullisempia, vaan ne ovat selvästi heikompia ja siten eivät niin kestäviä tai pitkäikäisiä. Muovisilla rakenteilla on kuitenkin mahdollista tehdä jopa nopeammin merkittäviäkin muutoksia edullisemmin, ja ne voidaan yleensä myöhemmin korvata kestävämmillä mikäli niin halutaan.

Värjäymien poisto ja hampaiden valkaisut tyypillisesti hinnoitellaan joistakin kymmenistä euroista muutamaan sataseen riippuen vaadittavista materiaaleista ja työajasta.

Jokainen hoito on aina yksilöllistä ja omaan tilanteeseen saa hoitosuunnitelman ja kustannusarvion vaihtoehtoineen varaamalla tutkimus- tai suunnitteluajan vastaanotolle.

Hampaiden ulkonäkö voi vaikuttaa merkittävästi omaan itsetuntoon ja sitä kautta elämänlaatuun. Siinä on usein iso ero tunteeko häpeää hampaistaan vai hymyileekö ja esitteleekö niitä aivan mielellään. Moni potilas on kokenut uskaltavansa hymyillä pitkästä aikaa aivan eri tavalla. Potilaita onkin hyvä ”varoittaa” hoidon alkaessa että suhtautuminen omaan hymyyn ja hampaisiin saattaa muuttua hyvin voimakkaasti ja sillä voi olla yllättäviä vaikutuksia omaan elämään.

Kiitokset kuvista: Hammaslääkärit Ville Saarenpää, Janne Säkkinen, Jussi Kaijanen, Esa-Pekka Juopperi erikoishammaslääkäri Matti Hannula, suuhygienisti Iiina Kervinen.

Varaa aika Hammasvahtiin hymyn suunnitteluun nettiajanvarauksesta tai puhelimitse 010 73 99 111 (pvm/mpm)